Less than the size of a single human cell, the parasite Toxoplasma gondii currently infects more than 40 million people in the United States every year, according to the Centers for Disease Control and Prevention (CDC).
While the majority of those infected are asymptomatic, the parasite can have deadly consequences for some.
This is especially true for people who are immunocompromised or pregnant.
Also known as T. gondii, the parasite is the leading cause of death from food-related illness in the United States, according to the CDC.
Those who develop a serious T. gondii infection, which is called toxoplasmosis, can experience broad flu-like symptoms such as muscle aches and swollen lymph nodes in the beginning.
However, part of what makes this parasite unique is that it can live in the human body for years before causing problems or even death.
Health professionals acknowledge that T. gondii’s effect on humans may be bigger than initially suspected, stating that there’s “growing evidence” that some people have “subtler symptoms” triggered by toxoplasmosis.
The parasite attacks the brain, eyes, and other organs during its acute active phase. If it’s not identified and treated, mortality rates can be high among those who develop symptoms.
The number of lethal outcomes is still being studied.
Within that group, 750 patients died, resulting in a 15 percent mortality rate for those who developed a severe infection.
While mortality from toxoplasmosis is mostly limited to those with suppressed immune systems and pregnant women, the study noted that acute infection can have “lethal consequences” for people with normal immune function.
Cases in which T. gondii is passed onto a child from the mother are considered a small percentage of overall infection rates, but they also account for the most “acute and fatal infections,” according to the study authors.
“The infections that are going to cause things like pneumonia and death, if you diagnose and treat it without delay, it may have good outcomes.” Dr. Rima McLeod told The Epoch Times in a telephone interview.

McLeod is a professor and a leading expert on T. gondii at the University of Chicago Medical Center.
She said T. gondii is a “parasite for everyone,” which doesn’t have discriminating tastes when it comes to human hosts.
Moreover, it is opportunistic and patient.
An infected person can carry the disease for years without knowing it, then develop a more serious condition once his or her immune system function changes.
She said toxoplasmosis isn’t limited to those who are immunosuppressed or pregnant.
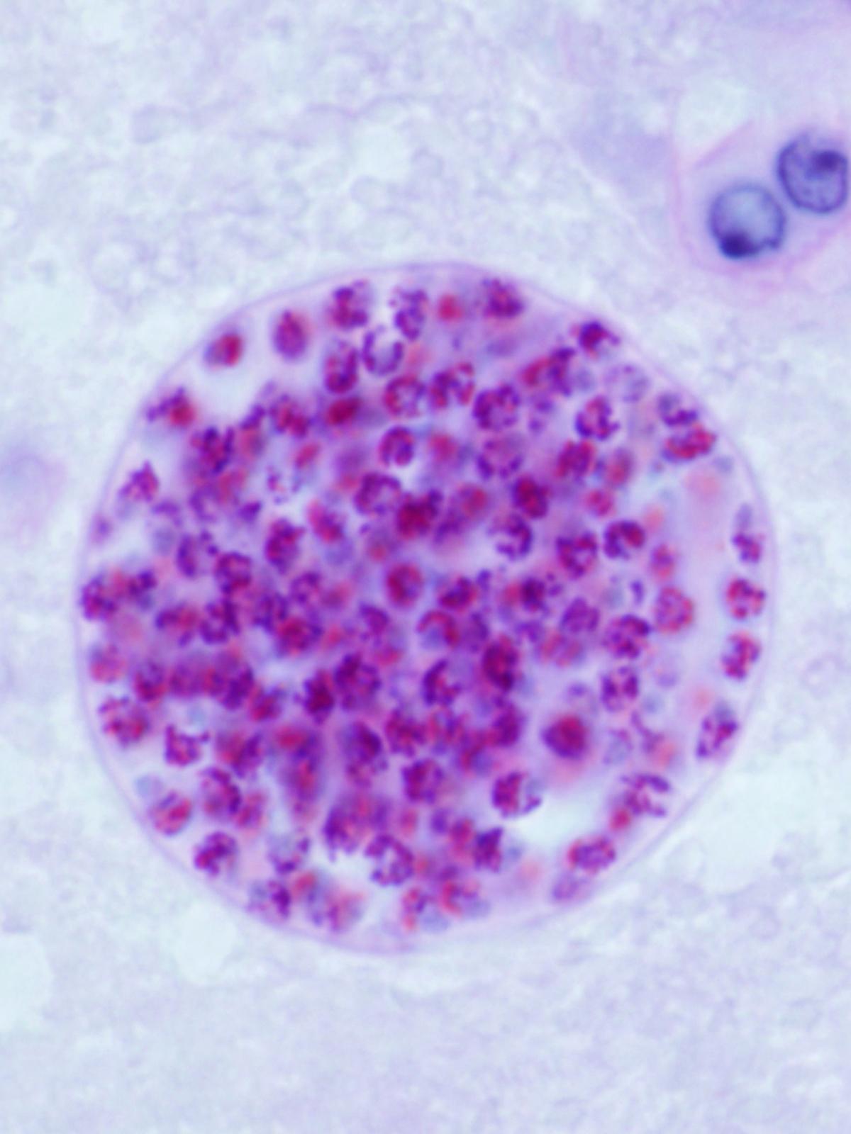
In its dormant phase, the parasite creates places to hide and slowly replicate inside healthy human cells, called oocysts.
The most common areas these oocysts invade are the brain and eyes, according to McLeod.
It also can create a chronic, lifelong infection.
She added that T. gondii has the ability to live in soil and water for up to a year.
Fecal contamination, undercooked meat, poorly washed fruits and vegetables, and drinking water are all potential infection points for T. gondii.
Medical professionals say that in most cases, how patients contracted the parasite is unknown.
“Even when you have a diagnosed infection, 50 percent of the time the source remains unknown. We don’t always know how this infection is spread,” Dr. William Schaffner, a professor of infectious diseases at Vanderbilt University School of Medicine, told The Epoch Times.
Infectious disease specialist Dr. Camille Kotton said that it’s usually not known how patients acquire the parasite, but it can transfer from an organ donor.
“Especially with a heart transplant,” Kotton told The Epoch Times via email.
Kotton said she rarely encounters T. gondii infections, despite working with many immunocompromised patients at Massachusetts General Hospital.
She said that while there are established treatments for infected patients, some are very expensive or not readily available.
Common methods of treatment include anti-parasitic medication and antibiotics.

However, the outcome for those suffering from toxoplasmosis can be grim without medical intervention.
Importance of Testing
Testing for T. gondii is widely available and is a key element in preventing the spread of infection.Schaffner said “highly vulnerable patients” are often screened with a blood test and sometimes given medication to prevent organ damage caused by the parasite.
“If you’re a person with a normal immune system, you can fight it off,” he said.
However, because of the broad and nonspecific nature of many of the symptoms, T. gondii can create red flags that could be dismissed by those who are unknowingly infected.
“It’s such a diffuse issue, it’s not like you can ask to be tested if your nose turns blue,” Schaffner said.
For those who are immunocompromised, health care providers are quick to act if patients develop certain symptoms.
“If those people come to you with headaches, then you do CT scans and test for toxoplasmosis,” he said.
McLeod agrees and said that testing is critical to prevent more severe infections from developing.
“It’s a neglected infection and an important infection. We can do so much to eliminate it,” McLeod said.
She observed that 80 percent of pregnant women in a research group didn’t recall any exposure to house cats yet tested positive for the T. gondii antibody that cats carry.
This indicates that the mothers had been infected without their knowledge, which can be disastrous if passed to infants and children.
The 2022 Medscape study authors noted, “Multiple complications may occur in persons with congenital toxoplasmosis, including intellectual disability, seizures, deafness, and blindness.”
Doctors say it’s also important that patients with a known infection, particularly those who are immunodeficient, pay close attention to any health changes.
Research indicates that patients can relapse into infection once treatment is stopped.

Behavior Alteration Concerns
Additional aspects of T. gondii that are being studied include suspected psychological effects.McLeod said some data indicate that the parasite may alter behavior in animals. This has been observed in small groups of wild animals that have known infections, including wolves in Yellowstone National Park.
Researchers noted that gray wolves with T. gondii infections were more likely to make high-risk decisions.
She also said there’s evidence that T. gondii can cause chronic illnesses in humans that aren’t normally attributed to the parasite.
The research is ongoing, but recent data point to a possible association between the parasite and neurodegenerative diseases such as epilepsy.
This evidence of toxoplasmosis’s effect on human behavior has been widely studied for decades, but the results aren’t conclusive.
The study researchers reported that “latent T. gondii infection has been associated with increased human trait aggression in females and increased impulsivity in males.”
The 2022 Medscape study stated that neurological effects of the parasite may account for 17 percent of traffic accidents and 10 percent of suicide attempts. Links between T. gondii and Parkinson’s and Alzheimer’s diseases are also being investigated.

One of the more controversial aspects of the study is a potential link between the parasite and schizophrenia.
A former skeptic of the parasite’s effects on human behavior, McLeod said she is now more open-minded to the possibility of neurological consequences of toxoplasmosis in humans, even from dormant infections.
Some of the research she’s observed includes specific memory deficits in young professionals with parasite antibodies when compared with the control group.
Patients who have schizophrenia or obsessive-compulsive disorder are also statistically more likely to have a T. gondii infection, according to some studies.
“There are close to 2 billion people [in the world] carrying this parasite in their brain across their lifetime,” McLeod said.
Severe infection and death from parasite exposure remain rare, but new discoveries of its potential consequences are still being made.
Schaffner compared the parasite and its potentially broad range of effects to how the medical community was initially baffled by the emergence of polio.
“This is a common phenomenon in infectious diseases. The most serious cases are but the tip of the proverbial iceberg,” he said.

















